Qgroznica je primarno zoonoza, a uzročnik je Coxillea (Ricketsia) Bumeti. Bolest se karakterizira:
- naglim početkom
- simptomima generalizirane bolesti (opšta slabost, temperatura, glavoboIja, mialgije)
- pojavom intersticijalne pneumonije.
Rikecijemija se javlja za vrijeme febrilnog perioda i traje 5 do 25 dana. Nasuprot drugim rikecijama ne stvara aglutinine protiv proteusa OX19. Klinička slika varira od lakih abortivnih formi do teških fatalnih. Poznati su hronični oblici koji se često javljaju sa endokarditisom.
EPIDEMIOLOGIJA
U prirodi je inficirano oko 33 vrsta životinja ovom rikecijom i 10 vrsta krpelja među kojima i Dermacentor Andersoni. Od životinja najčešće se pominje Bandicot (australijski torbar, koji je prirodno inficiran), zatim mnogobrojne vrste pacova, miševa zečeva, ježeva, kornjača, domaće životinje (ovce. koze, goveda, svinje, psi i kamile). Od divljih životinja pominju se majmuni (babuni), tigrovi, leopardi, hijene i mungosi. Takođe su dokazane i infekcije kod ptica kao kod golubova, divljih pataka, gusaka, kokoši i kod devet vrsta divljih ptica.
Životinje obično obolijevaju od inaparentne infekcije. U prirodi se medu životinjama prenosi krpeljima. Za održavanje bolesti u prirodi neobično je važan krpelj. Domaće životinje izlučuju rikecije urinom, mlijekom, a mogu se naći i u placenti.
Čovjek se inficira prašinom koja je puna rikecija u jednoj inkriminisanoj sredini. Međutim, rikecija može prodrijeti kroz lediranu kožu, zatim putem mlijeka i hrane kao i preko konjunktiva.
Rikecija je vrlo otporna u spoljnoj sredini i može mjesecima živjeti u prašini, na predmetima, u odjelu, na alatkama i dr. Drugi veoma važan faktor je mala količina infektivne doze koja je dovoljna da čovjek oboli. Opisani su slučajevi infekcija medicinskog osoblja (sestara, ljekara i patologa). Mogućnost održavanja latentne infekcije slične Brillovoj bolesti ne isključuje se ni ovdje.
ETIOLOGIJA
Coxiella Burneti je intracelularni mikroorganizam. To je jedan bipolarni štapić .
PATOGENEZA
Ukoliko infekcija nastupi preko disajnih organa, onda se pneumonija može smatrati primarnom lezijom, u tom slučaju se ona ne bi mogla smatrati sekundarnom nakon rikecijemije. Ovo je dokazano na eksperimentalnim životinjama od kojih je došlo do plućnih lezija nakon nazalne i trahealne inokulacije rikecija. Karakter pneumoničnog eksudata odgovara etiološki lezijama koje su nađene kod ostalih rikecioza. Kod crvene hepatizacije nađen je u alveolama i bronhiolama jedan fibrinozni eksudat sa limfocitima, velikim monocitima, kasnije i neutrofilima i plazma ćelijama. Kod sive hepatizacije alveolarni zid je odebljan uslijed infiltrata sa makrofagima, Limfocitima i plazma ćelijama. Međutim, nedostaje za rikecioze patognomični vaskulitis i perivaskulitis.
U drugim organima kao što je jetra, slezena, nađeni su milijarni granulomi sa monojedarnim ćelijama. Ovakvi granulomi su nađeni kod biopsije jetre u toku Q-groznice. Coxiella Burneti je otkrivena u makrofagima, plućima, testisu i ćelijama neuroglije. Viđene su sem toga slobodne u tubulima i tutubularnim i epitelijalnim ćelijama. Opisana je patološka slika endokarditisa. Iz ovih lezija je izolirana rikecija.
- Rikecija ulazi u organizam putem respiratornih organa, nešto rjeđe preko probavnih organa (hrana, meso, mlijeko i dr.), vjerovatno, putem kožnih lezija što do sada sa sigurnošću nije potvrđeno.
- Nakon ulaska uslijedi rikecijemija i uzročnici se zadrže na onim organima prema kojima pokazuju tropizam (retikuloendotel).
KLINIČKA SLIKA
- Inkubacija traje obično 2 do 3 sedmice u prosjeku 19 dana, najduža inkubacija je primjećena od 35 dana. Inaparentne infekcije su dosta česte. Smatra se da na dva slučaja sa manifestnom, javlja se jedan sa inaparentnom infekcijom.
- Prodromalni stadijum može trajati od nekoliko sati do nekoliko dana, a karakteriše se malaksalošću, gubitkom apetita, eventualno bolovima u trbuhu, grudnom košu i ekstremitetima. Glavobolje koje se jave u ovom stadijumu su veoma intenzivne i lokalizirane u čeonom i predjelu sljepoočnica. Temperatura. se penje u prva tri dana od 39 do 40 i može ostati visoka 4 do 5 dana, ponekad čak i 15 dana. Obično pada litički na normalne vrijednosti.
- Visceralni stadijum nastupa nakon prodromalnog, koji u 60% bolesnika ima pulmonalnu lokalizaciju,
- Karakterizira se suhim kašljem, bez dispneje, cijanoze i katara respiratornih puteva.
- Ternperatura u ovom stadiju može biti intermitentna, a praćena je sa relativnom bradikardijom.
- Opšte stanje je uprkos visoke vatre, glavobolje i bolova u mišićima još dosta dobro. Egzantem uglavnom nedostaje, koji je inače karakterističan za ostale rikecioze. Jetra je palpabilna ispod rebarnog luka, kao i slezena koja se veoma teško dade ispalpirati. U krvnoj slici nalaze se normalan ili snižen broj leukocita, od 4000-7000 u mm2 sa lakim skretanjem u lijevo. U prvoj nedjelji nedostaju ezoinofili.
- Rekovalenscentni stadijum nastupa nakon 2 do 3 sedmice sa postepenim oporavkom. U ovom stadiju se javlja lagana postiinfekciozna limfocitoza. SE eritrocita je lako ubrzana. Crvena krvna slika je nepromjenjena.
KLINIČKI OBLICI
Klinička slika se može manifestovati kao infekcija respiratomih puteva slično gripi, febrilnom kataru ili prehladi, sa iznenadnim početkom, temperaturom, glavoboljom, opštom slabošću, gubitkom apetita, kašljem, bolovima u grudnom košu i dr.
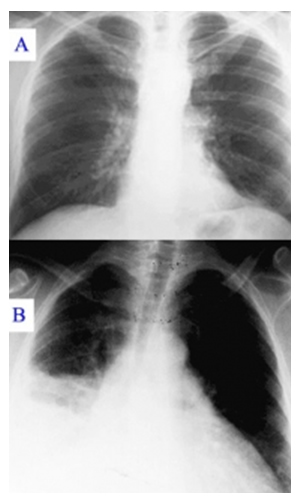
Pneumonične promjene (atipična pneumonija) su najčešća pojava kod hospitaliziranih bolesnika i javljaju se u 60%. Plućne promjene se razvijaju u obliku netipične pneumonije sa diskrepancom između diskretnog auskultatornog nalaza i sasvim jasnog radiografskog nalaza. Radiografski nalaz nakon nekoliko dana pokazuje nejasno ograničenu, meku sjenu, često multiplu ili obostranu, a prije svega u donjim plućnim režnjevima. Često se vide i natečeni hilusi. Plućne promjene se mogu podijeliti u 4 grupe:
- izolirani ili multipli infiltrati, mekani i podsjećaju na TBC proces. Ova forma je najčeća,
- masivne velike infiltracije, tzv. »Pseudo-lobarne pneumonije«,
- milijarni infiltrati, tzv. »pseudomilijarna tuberculosa« i
- perihilarni infiltrati »pseudo-bronho-karcinom«.
Inaparentne forme su vrlo česte (35% svih oboljelih).
Ambulantni i abortivni oblici se viđaju za vrijeme epidemija.
KOMPLIKACIJE
- plućna embolija,
- tromboflebitisi u području vene safene magne i v, femoralis. Javljaju se obično u trećoj ili četvrtoj sedmici bolesti.
- tromboza mezenterijalnih vena je opasna kao rijetka pojava.
- encefalitične promjene su rijetko opisivane. Ispoljavaju se sa ekstrapiramidalnim smetnjama, afazijom, diplopijom.. halucinacijama, somnolencom, toničkokloničkim grčevima, parezom facialisa, hemiplegijama i dr.
- Hepatitis,
- Orhitis i epididimitis,
- Rjeđe komplikacije su perikarditis i miokarditis,
- Vrlo rijetki su recidivi.
- Opisani su i slučajevi subakutnog endokarditisa
Prognoza
Letalitet je mali i kreće se ispod 1%.
DIJAGNOZA
Dijagnoza se može postaviti na osnovu tzv. «duplog triasa»
Klinički (mali) trijas Veliki trijas
Atipična pneumonija Klinički trijas
Temperatura Epidemiološki podaci
Glavobolja Laboratorijska dijagnoza
Laboratorijska potvrda Qgroznice se može postići:
- izolacijom uzročnika,
- serološki dokazivanjem prisustva određenih antitijela
DIFERENCIJALNA DIJAGNOZA
- Mnoge akutne infektivne bolesti dolaze u obzir na početku bolesti i to u svojim ranim stadijima kao što su: abdominalni tifus, paratifus, bruceloze, serozni i gnojni meningitisi, leptospiroze, denga, papatači groznica, malarija i druge.
- Atipične pneumonije izazivane sa virusom ornitoze, drugim virusima i mikoplazmom pneumonije.
- Bakterijske pneumonije, a naročito ako je fizikalni nalaz oskudan.
TERAPIJA
U upotrebi su tetraciklini koji su efikasni ako se upotrebe u prva 3 do 4 dana od početka bolesti. Liječenje se sprovodi tako da se antibiotik daje pet dana po prestanku temperature.
PROFILAKSA
Onim ljudima koji rade sa sumnjivim životinjama preporučuje se dezinfekcija predmeta i ruku. Irnunizacija vakcinom vrši se kod određenih profesija. U upotrebi je bila mrtva vakcina, ali ona je davala visoki procenat lokalnih reakcija. To su alergične kožne reakcije, koje za nesreću dugo traju, čak i mjesecima. Kasnije je sačinjena atenuirana vakcina.

