Nekoliko je neuroloških poremećaja koji dovode do sindroma konvulzivnih napadaja, mioklonih grčevitih kontrakcija mišića i progresivne demencije. U praksi se najčešće susreću subakutn sklerozirajući panencefalitis u djece, adolescenata i mladih odraslih, te subakutna spongiformna encefalopatija (Creutzfeldt-Jakobova bolest) u starijih odraslih.
Ovaj se sindrom može javiti i u rijetkim oblicima obiteljskih metaboličkih poremećaja:
- manjak neuraminidaze združen s pojavom pjega na makuli
- ceroid-lipofuscinoza
Kad se iz razmatranja izuzmu ovi i drugi poremećaji poznatog uzroka, preostaju neki kliničkopatološki entiteti koje se prihvatljivo svrsta među nasljeđne degenerativne bolesti. U sjevernoj Europi (Švedska i Finska) pronađeno je i pažljivo proučeno nekoliko obitelji s ovim sindromom, ali poseban zemljopisni raspored bolesti ne postoji.
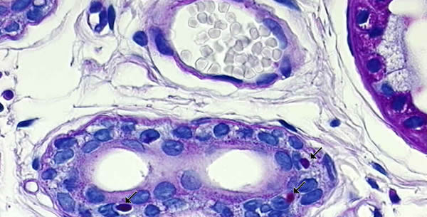
Laforaova bolest
To je podvrsta progresivne mjoklone epilepsije s recesivnim nasljeđivanjem, koju obilježavaju izražajne intracitoplazmatske nakupine u moždanim neuronima zvane Laforaova tjelešca prema izvornom opisu koji je dao Gonzalo Lafora (1911).
Tjelešca se sastoje od polimera glukoze, što ukazuje da se radi o poremećaju metabolizma ugljikohidrata, ali biokemijski poremećaj koji omogućuje takvo nakupljanje nije poznat. Laforaova tjelešca su široko rasprostranjena, ali su najbrojnija u talamusu, supstanciji nigri i dentatnim jezgrama malog mozga.
Nakon Laforaovog izvješća, slične nakupine polisaharida nađene su u srčanim i poprečno prugastim mišićnim vlaknima, koži i jetri, pa je danas moguće utvrditi dijagnozu u presimptomatskom stadiju bolesti pomoću biopsije kože ili jetre.
Bolest se tipično javlja u djetinjstvu ili adolescenciji u obliku ponavljajućih epileptičnih napadaja (generaliziranih ili parcijalnih), mioklonih grčeva na koje se ne može utjecati lijekovima ili obaju navedenih.
Tokom vremena mioklone pojave postaju sve teže te propadaju sve intelektualne funkcije. Smrt od interkurentne infekcije obično nastupi prije 25 godina života.
Antikonvulzivno liječenje može pomoći u sprječavanju napadaja, ali ne postoji djelotvoran lijek za osnovnu bolest.
Unverricht-Lundborgova bolest
To je rijetko autosomno recesivno oboljenje koje počinje u adolescentnoj dobi s mioklonim i tonično-kloničkim napadajima. Demencija je do samoga kraja blaga ili odsutna, no može se javiti postepeni intelektualni pad, kao i disartrija, ataksija i intencijski tremor. Uobičajeno je preživljavanje u odraslu dob. Patološki nalaz pokazuje široko rasprostranjene degenerativne promjene bez znakova nakupljanja patoloških tvari.


Be the first to comment