Ona je vezana za povećanja nivoa kalcija u krvi. Ovo se događa kod različitih poremećaja metabolizma kalcija, pri čemu se ovaj najčešće izvlači iz kosti i ubacuje u cirkulaciju gdje kruži u povećanoj koncentraciji.
Najčešće ga vidimo kao popratnu pojavu kod strume ili tumora paratireoidee, kod kojeg se stvaraju povećane količine parathormona.
Parathormon djeluje na odlaganje kalcija u kosti u smislu da ga se manje odlaže i povećava se njegova koncentracija u krvi. To uzrokuje bolest cijelog kostura poznatu kao osteodystrophia fibrosa generalisata. Kod ovog oboljenja kosti se omekšavaju, a pojavljuju se kalcifikacije svuda po organizmu, a najčešće u bubrezima, miokardu, sluznici želuca, jetri i slezeni.
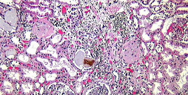
Na bubrezima je ovo posebno vidiljivo. Hiperkalcemija u krvi uzrokuje calcinuriu i kalcij koji uđe u glomerularni filtrat nerijetko u bubrežnim kanalićima se obori u kompleksima sa proteinima i ostacima ćelijskog raspada stvara kacijeve cilindre koji žačepljavaju put primarnom urinu stvarajući opasnost od uremije. Pored toga kalcij se ne taloži samo u kanalićima nego i u raspadnutim ćelijama kanalića uzrokujući još i upalu u intersticiju što pogoršava još više to stanje. Ove promjene jednim imenom označavamo kao nephrosis calcarea.
Metastatska kalcifikacija javlja se i kod drugih oboljenja: primarni maligni osteogeni tumori, osteolitičke metastaze drugih tumora u kosti, kod osteomijelitisa, kod rahitisa, kod osteomalacije itd. Takođe i hronična oboljenja bubrega mogu dovesti do hiperkalcemije pa se nerijetko može zaključiti da je hiperplazija paratireoidee ustvari radna hiperplazija.


Be the first to comment