Pneumokonioze su bolesti pluća uzrokovane udisanjem anorganskih čestica. To su najčešće profesionalne bolesti, jer pogađaju ljude koji su zaposleni u industrijskim pogonima. U razvoju bolesti, najvažniji faktor je sposobnost inhaliranih čestica za izazivanje fibroze. Ostali faktori, koji su također važni su veličina čestica, vremenski period izloženosti anorganskim česticama i osjetljivost koja ovisi od čovjeka do čovjeka.
Najčešći primjeri ove bolesti su silikoza i azbestoza.
Pneumokonioze
Su plućna oboljenja izazvana udisanjem prašine metaloida.
Najčešče obolijevaju rudari u ugljenokopima.
Razlikujemo dva oblika:
- benignog toka
- difuzno progredijentnog tipa (progresivna plućna fibroza)
Dužina ekspozicije do pojave znakova bolesti je 10 – 15 godina
Benigni tip: pluća prekrivena crnim nakupinama promjera do 5 mm, fibroza manje gusta nego kod silikoze, sa lokalnim emfizemom u okolinu
Progresivni tip: grubo vezivo uz limfocitne infiltrate. RTG podsjeća na silikotične pseudotumore
Silikatoze
Azbestoza
Pored slobodnog SiO2 sadrži magnezij, željezo, kalcij i natrij u formi iglica.
Azbestoza je pneumokonioza koja je uzrokovana inhaliranjem azbestne prašine ili azbestnih vlakana. Azbest je silikat koji je štetan po zdravlje ljudi, a njegova karakteristična struktura (oblik iglica) mu omogućava da se nakon inhalacije zabada u plućne membrane i tako dovodi do kroničnih upala i fibroze. Ovisno o imunitetu zahvaćenog pacijenta, ovisi i razvoj bolesti.
Klinčka slika:
- u početku neprimjetno
- prvi simptom suh podražaj na kašalj
- u sputumu azbestna tjelašca
- dispnea
- bolovi
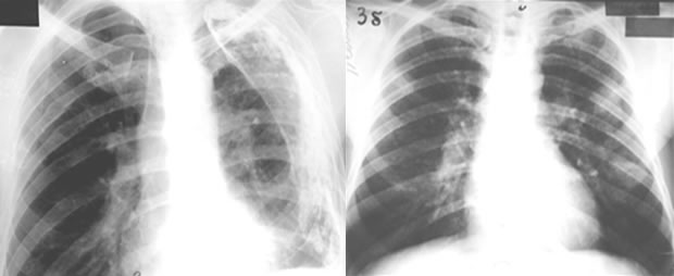
RTG.
- priraslice,
- karcinom pluća,
- mezotelijom
Talkoza
Odlaganje talka u industriji talka.
Talk je magnezi]um silikat formule 3MgO,4SiO2. Oboljenje se sreće kod radnika na kopanju i mljevenju rude, u hemijskoj, farmaceutskoj, gumarskoj industriji, u proizvodnji papira, sapuna, akumulatora (materijal za popunjavanje) i dr. Teška oboljenja nastaju tek poslije dugogodišnje intenzivne ekspozicije prašini.
Klinička slika odgovara drugim pneumokoniozama. Simptomi se javljaju poslije 12-18 godina rada.
Rtg slika: radi se o difuznoj fibrozi sa zamućenjem srednjih i donjih plućnih polja; kasnije se javljaju noduloidna zasjenčenja, rijeđe veliki pseudotumori. Takozvane »tale plaques« mogu se vidjeti na pleuri, perikardu i dijafragmi (gusto su zakrečene, nalikuju na švarte). Postoji sklonost ka tuberkulozi.
Radna sposobnost Kod aluminoze i talkoze vrijede isti principi kao kod silikoze. Aluminoza i talkoza se priznaju za profesionalno oboljenje kod svih radova gdje se razvija prašina aluminijuma i njegovih jedinjenja i talkuma uz postojanje jasnog rtg nalaza i objektivno dokazane kliničko-funkcionalne smetnje.
Kaolinoza
Pneumokonioza uzrokavana prašinom gline.
Industrija keramike
- punktiformna
- nodularna
- mikronodularna
Kaolinoza je pneumokonioza izazvana udisanjem prašina gline. Najčistiji oblik gline je kaolin (porcelanska glina). Kao primjese u prašini gline se
mogu naći SiO2, ugljenik, Al i organska jedinjenja.
IZVORI EKSPOZICIJE
- Proizvodnja keramike, porcelana i vatrostalnih opeka
- Tekstilana industrija
- Industrija plastičnih masa
- Industrija hartije
- Elektrotehnika
PATOGENEZA
Iako se smatra da čist kaolin ne može da izazove pneumokoniozu opisani su i slučajevi čiste kaolinoze kod radnika koji rade u farmacetskoj industriji. Pretpostavlja se da kaolin u sprezi sa aluminijum fosfatom ima antigena svojstva čime se može objasniti nastanak čiste kaolinske pneumokonioze.
Pneumokonioza kod radnika u industriji keramike i porcelana su posljedica dejstva SiO2 koji se nalazi kao primjesa u glini.
Kod kaolinoze pluća su nešto tvrđa sa difuznom fibrozom u gornjim režnjevima i rijetkim nodularnim formacijama sivkaste boje (ne tako čvrsti kao kod silikoze). U centru nodularnih formacija može doći do nekroze kao posljedica ishemije (endarteritisa grana plućne arterije). Ponekad se nalaze i masivne pleuralne adhezije
KLINIČKA SLIKA
- Dispneja pri naporu
- Bol u grudima
- Kašalj sa ili bez iskašljavanja.
KOMPLIKACIJE
- Bronhiektazije
- Tuberkuloza
- Karcinom pluća
RADIOLOŠKI NALAZ
- PRI MANJEM PROCENTU SiO2 U RUDI: Pojačan i deformisan plućni crtež u srednjim i gornjim plućnim poljima.
- PRI VEĆEM PROCENTU SiO2 U RUDI: Punktiformna, nodularna i mikronodularna zasjenčenja. Pleuralna zadebljanja i adhezije
PLUĆNA FUNKCIJA
U početku očuvana, a kasnije se javljaju opstruktivno-restriktivni poremećaji (češće restriktivni).


Be the first to comment