Definicija:
Prijelom radijusa na tipičnom mjestu ili Fractura radii loco typico je jedan od najčešćih prijeloma.
Etiologija:
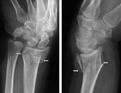
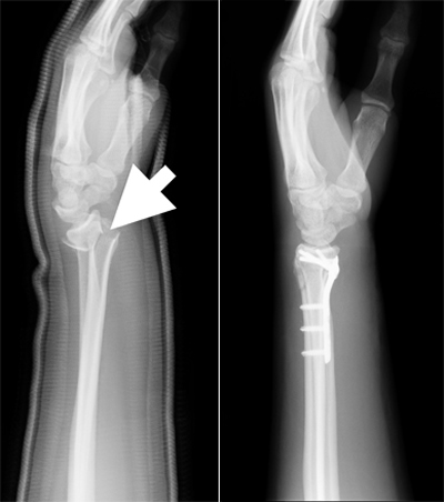
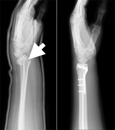
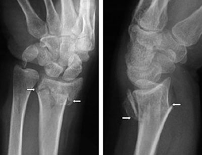
Prijelom radijusa nastaje na mjestu koje je 2-3 cm udaljeno od ručnog zgloba. Nastaje prilikom pada na ispruženu ruku gdje je ručni zglob u dorzalnoj fleksiji, a podlaktica u pronaciji. To je tzv. Collesova fraktura gdje je distalni fragment pomaknut prema dorzalno i radijus dobije izgled francuske vilice. Nasuprot ovom mehanizmu, pri padu na dorzum šake nastaje Smithova fraktura gdje je distalni fragment pomaknut prema volarno, oblik radijusa nalik je na bajonet.
Klinička slika:
Oko ručnog zgloba nastaje otok, bol i deformitet, ovisno o mehanizmu ozljede. Funkcije šake i prstiju su ograničeni zbog bolova. Gledano sprijeda, ruka je deformisana u vidu bajoneta zbog pomjeranja donjeg fragmenta upolje, unazad i naviše. Gledano sa strane, ruka je deformisana u vidu leđa od viljuške zbog pomjeranja donjeg fragmenta put dorzalno i proksimalno i pomjeranja proksimalnog fragmenta palmarno.
Dijagnoza:
- klinički pregled
- RTG
Liječenje:
U lokalnoj ili opštoj anesteziji se vrši manuelna repozicija, potom se stavlja longeta. Nakon 3 do 4 dana se ponavlja RTG i ako je položaj ulomaka dobar stavlja se cirkularni gips. Nekoliko dana nakon repozicije, podlaktica mora biti u uzdignutom položaju. Kod nestabilnih prijeloma i ukoliko se repozicijom ne postigne adekvatan položaj ulomaka, osovine i ako se ne riješi skraćenje, pristupa se operativnom zahvatu gdje se stavljaju vijci, male pločice ili Kirschnerove žice.





Be the first to comment