
Ćelije koje nastaju malignom transformacijom u laboratorijskim uslovima svojim izgledom, načinom rasta u kulturi i sekrecijom pokazuju značajne razlike u odnosu na normalene. One gube sposobnost kontaktne inhibicije, rastu u polučvrstom mediju, trebaju manju količinu seruma jer same proizvode faktore potrebne za svoj rast, često luće proteolitičke enzime za razlaganje fibrina i dovode do pojave tumora kada se implantiraju eksperimentalnim životinjama. Hibridi normalnih i malignih ćelija imaju neka od ovih svojstava.
Ćelija tumora se značajno razlikuju od normalnih tjelesnih ćelija. One posjeduju brojne morfološke, biohemijske, fiziološke, imunološke, citogenetičke i druge osobitosti, koje čine njihov karakterističan izgled i ponašanje, tz. maligni fenotip.
Makroskopski izgled tumora
Za razliku od benignih tumora, koji su okrugli i jasno ograničeni, malignomi su tipično nepravilnog oblika, loše ograničeni od okolnih tkiva, koje često infiltriraju i razaraju. Maligni tumori obično brzo mijenjaju svoju veličinu.
Maligni tumori mogu rasti kao egzofitična, nodularna ili papilarna masa. Često se manifestuju kao ulcerozna ili cistična formacija. Neki tumori imaju izrazito infiltrativno širenje i difuzno zahvataju okolno tkivo. Česte su kombinacije ovih načina pojavljivanja, npr. infiltrativno-ulcerozni ili egzofitično infiltrativni rast.
Histološka obilježja tumora
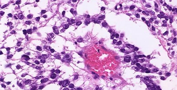
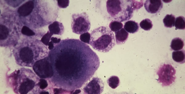
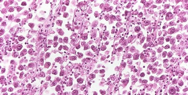
Maligna ćelija se svojim oblikom i veličinom u većoj ili manjoj mjeri razlikuju od normalnih ćelija od kojih potiće (ćelijska atipija). Često je toliko izmijenjena da je po izgledu teško prepoznati njeno porijeklo. Pored ćelijske, u tumorima postoji i tkivna atipija. Maligne ćelije ne grade normalne tkivne strukture, nego je njihov međusobni odnos, kao i orjentacija prema membranama, vaskularnim i drugim tkivnim strukturama izmijenjena.
Za razliku od ćelija normalnih tkiva, koje su međusobno veoma slične, maligne ćelije se međusobno znatno razlikuju po obliku, veličini, ćelijskim jedrima, stepenu obojenosti. Ovo svojstvo malignih ćelija se označava pojmom pleomorfizam.
Pored toga maligne ćelije imaju svojstvo hiperhromazije, tj. njihovo jedro je u odnosu na citoplazmu veće nego kod normalnih ćelija. Izgled i građa jedra malignih ćelija su često izmijenjeni (jedarna atipija).
Ćelije tumora se češće dijele nego normalno, a mitoze mogu biti atipične.
Biološke osobine tumora
Osnovne biološke karakteristike malignih ćelija su:
- nenormalna proliferacija
- nenormalno sazrijevanje- dediferencijacija
- nenormalna pozicija ćelija.
Tumorska proliferacija: je neusklađeno i nenormalno bujanje morfološki i funkcionalno promijenjenih ćelija, što rezultira stvaranjem tumorske mase. Dioba normalne ćelije je kontrolisana njenim genetičkim materijalom i faktorima okoline. Proliferacija i rast normalnog tkiva se odvija dok se ne postigne fiziološki korisna ćelijska populacija. Neoplastične ćelije se dijele bez kontrole sigurnosnih mehanizama koji upravljaju rastom normalnih ćelija (gubitak proliferativne kontrole). Umnožavanje ćelija tumora je brzo i nesvrsishodno i nastavlja se do smrti organizma, ukoliko ne bude prekinuto nekim terapijskim postupkom.
Nenormalna diferencijacija: svaka tumorska ćelija je u izvjesnoj mjeri manje zrela u odnosu na normalnu ćeliju, tj. pokazuje svojstvo nediferenciranosti – hipoplazije, anaplazije, displazije. To zapravo ne znaći gubitak diferencijacije, nego ne postizanje odgovarajuće zrelosti ćelije. Manifestuje se u izgledu, ali i u biohemiskim, antigenskim, hormonalnim i drugim karakteristikama tumorske ćelije. Ćelije tumora podliježu morfološkom i funkcionalnom pojednostavljivanju i se zadržavaju na nižem, pa i embrionalnom nivou. Stupanj dediferencijacije je različit izmedju različitih neoplazmi i ukazuje na njihov maligni potencijal.
Poremećaj pozicije: Normalne ćelije posjeduju svojstvo određenog medjusobnog prostornog organizovanja i odnosa prema membranama. Tako nastaju pravilne tkivne strukture, međusobno odvojene tkivnim i bazalnim membranama. Maligne ćelije gube uobičajeni način međusombog rasporeda. Zbog toga mogu rasti u nepravilnim nakupinama ili stavrati formacije netipične za određena tkiva, te nastaju poremećaji građe tkiva – tkivna atipija.
Pored poremećaja međusobnog položaja, tumorske ćelije imaju promijenjen odnos prema bazalnoj i tkivnim membranama, koje često razaraju, urastaju u okolne strukture, invadiraju krvne i limfne sudove. Maligne ćelije imaju sposobnost rasta na atipičnim mjestima. Zahvaljujući tome, nošene limfogeno i hematogeno, stvaraju tumorske depozite, metastaze, u različitim organima.
Pored navedenih, maligne ćelije imaju određene biohemijske, citogenetičke i imunološke osobine koje ih razlikuju od normalnih.





Be the first to comment