Definicija:
Amiloidoza je oboljenje kod kojeg se talože proteini u intercelularni prostor i to jedna supstanca koju nazivamo amiloid. Ima osobinu da se taloži između mezenhimalnih ćelija, u zidu krvnih i limfnih žila i u bazalnim membranama.
Amiloid je proteinska, homogena, čvrsta, providna supstanca smeđe ili blijedosive boje. Hemijski se sastoji od proteina po sastavu, a vjerovatno i po porijeklu, od globulinske frakcije krvne plazme, nešto masti, ugljikohidrata i hondroitin sumporne kiseline.
Što se tiče razlikovanja od drugih homogenih tvari kao što su hijalin, koloid i roževina možemo reći da se:
- eozinom boji crveno; kao i ostale nabrojane tvari
- Lugolovim rastvorom (kalijum jodid) smeđe
- MetilViolet ili Genicijana Violetom se boji crveno, a okolno tkivo plavo
- Kongo Rot; ima izuzetan afinitet za Kongo Rot
Etiologija:
Etiologija amiloidoze nije potpuno riješena. Najčešće je mišljenje da je amiloid uglavnom porijeklom od krvne plazme i to iz globulinskog sastava i da je u tekućem stanju (preamiloid) pa da se kasnije homogenizira i zgusne. U tom smislu je i mišljenje da svakoj amiloidozi prethodi hiperglobulinemija.
Nešto dublje razmišljanje od ovoga vodi u to da je amiloid precipitat reakcije antigen antitjelo, te se taloži tamo gdje se reakcija odigrala, što objašnjava pojavu da se kod ošte amiloidoze amiloid stvara uglavnom u organima RES-a.
Uzroci amyloidosis universalis se daju skoro uvijek pronaći, najčešće su to hronične infektivne bolesti (tuberkuloza, sifilis), bronhiektazije, maligni tumori, hronične upale koštane moždine.
Vitalni organi postepeno ispadaju iz funkcije i nastupa smrt. Opšta amiloidoza stalno napreduje dok god je prisutan uzrok u organizmu pa ga treba što prije uklonit da ne bi došlo do smrtnih oštećenja vitalnih organa.
Razlikujemo tri tipa amiloidoze:
- opšta amiloidoza
- lokalna amiloidoza
- paraamiloidoza
Opšta amiloidoza (Amyloidosis Universalis)
Ovo oboljenje zovemo još i sekundarna amiloidoza zbog toga što je uvijek posljedica neke druge bolesti i samostalno se ne razvija. Kod ovog oboljenja zahvaćen je uvijek veći broj organa i to obično slezena, jetra, bubreg, nadbubreg, crijeva, limfni čvorovi, a nekada i pankreas.
Amiloidoza Slezene: iz nepoznatih razloga javlja se u dva oblika:
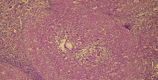
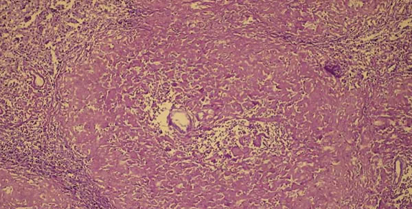
- Amyloidosis follicularis lienis: amiloid se taloži isključivo u limfnim folikulima tj između ćelija retikuluma istiskujući limfocite. Na reznoj plohi slezene vide se prozračne kuglice veličine glave šibice. Pored slezene bično se razvija u jetri i crijevima.
- Amyloidosis diffusa lienis: drugi oblik amilidoze slezene kada se amiloid taloži u crvenoj pulpi slezene dok su folikuli pošteđeni. U crvenoj pulpi amiloid se taloži u “ograncima retikuluma”, u zidu krvnih žila (venskih sinusa, u zidu centralne arterije malpigijevog tjelašca, i u zidu trabekularnih krvnih žila). Na prerezu slezena je jednolično blijeda i sjajna kao slanina ili je sjajna i crvena kao šunka. Uz difuznu amiloidozu obično se razvija amiloidoza bubrega i nadbubrega.
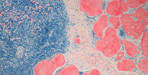
Amiloidoza Jetre: nastaje tako da se amiloid taloži između retikulinskih vlakana što obavijaju intralobularne kapilare ispunjavajući prostor između kapilara i hepatocita onemogućavajući hepatocitu da se normalno prehranjuje i pritiskajući ga zbog čega hepatocit propada. Zbog toga što je otežana i razmjena gasova. Amiloidozu jetre prati masna infiltracija i masna degeneracija hepatocita. Kod jetrene amiloidoze neminovno je propadanje jetrenog parenhima zbog čega nerijetko nastupa smrt.
Amiloidoza Bubrega: amiloid se taloži u kapilare glomerula, intersticij i u bazalnu membranu epitelnih ćelija bubrežnih tubula. Amiloid u glomerulu dovodi do almbuminurije i lipurije, a na kraju cijeli glomerul bude uništen i njegovo mjesto zauzme amiloid homogene strukture na mikroskopu. Iz toga slijedi insuficijencija bubrega, a bolesnik umire od uremije. Makroskopski se na prerezu bubreg vidi kao uvećan, žućkast sa prozračnim prugrama u kori.
Amiloidoza Nadbubrega: najviše se taloži u zoni fasciculati između kapilara i epitelnih ćelija uzrokujući atrofiju epitelnih ćelija. Posljedica je prestanak funkcije zone fasikulate.
Amiloidoza Crijeva: taloži se u mukozu ometejući normalnu resorpciju.
Amiloidoza Pankreasa: taloženje u langerhansovim otočićima gdje dovodi do šećerne bolesti.
Amiloidoza Krvnih žila: ne mora biti vezana za opštu amiloidozu. Taloženje se odvija u kapilarama i venulama između intime i medije, a u velikim venama i arterijama u mediji počevši od lamine elastice interne. Za razliku od hijalinoze uprkos nekad velikoj debljini amiloidnog sloja protok krvi je gotovo neometan.
Lokalna amiloidoza (Amyloidosis localisata)
Nalazi se rjeđe od opšte amiloidoze. Zovemo je i primarna jer se razvija kao prva bolest bez poznatih prezhodnih uzroka. To je amilodoza koja se razvija samo na jednom organu, a nekada samo i na jednom vrlo ograničenom mjestu u organu u obliku koji zovemo amyloidosis tumoroidea kada se razvija u obliku sitnih čvorića veličine do lješnjaka i to u usnoj šupljini u zidu, na jeziku, larinksu, farinksu, ezofagusu, bronihma, mokraćnoj bešici, nekad u očnim kapcima itd. U disajnim putevima može uzrokovati strahovite probleme pri disanju.
Drugi oblik lokalne amiloidoze može zahvatiti difuzno pankras (diabetes mellitus) i srce (naglu smrt).
Paraamiloidoza (Paraamyloidosis)
Naziva se tako što njen amiloid iako fizički sličan pravom amiloidu ne daje hemijske reakcije karakteristične za amiloid. Drugačija je i raspodjela u organzimu, a zahvata obično srce, pluća, mozak, pankreas i kožu.
U krvi je disbalans u kvalitativnom sastavu proteina karakterističan za paraamiloidozu. Javlja se kod multiplog mijeloma, kala azara i još nekih drugih oboljenja.
Corpuscula Amyloidea
Tjelašca samo fizički slična amiloidu, a hemijski potpuno različita. Variraju po veličini od malih u mozgu do makorskopski vidljivih u mokraćnoj bešici. Nastaju homogenizacijom proteinskog sekreta i uključivanjem raspadnutih epitelnih (glija ćelija u mozgu) ćelija.






Be the first to comment