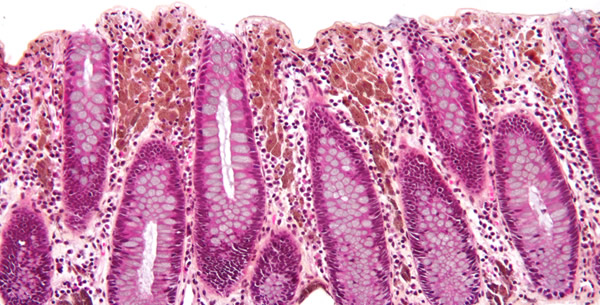
Melanosis coli predstavlja pojava kada se nakon hroničnih upala debelog crijeva pigmentira njegova sluznica, pa se vidi fina smeđa mrežica.
Taj pigment neki autori smatraju melaninom ali većina ga smatra samo melaninu sličnim. Bitno je ovu promjenu razlikovati od pseudomelanoze koja nastaje postmortalno kao rezultat taloženja željeznog sulfida u zidu crijeva.


Be the first to comment