Definicija:
Degeneratio Parenchymatoza po definicije je ireverzibilan proces raspadanja ćelija uz intracelularno pojavljivanje proteinskih tvorevina. Sinonimi su: intumescentia opasca, degeneratio albuminoides i degeneratio granularis.
Ovu promjenu je teško dijagnosticirati pravilno. Prije svega zbog toga što u početnim stadijima veoma liči na infiltratio albuminoides, a i zbog toga što se konačne promjene ne razlikuju od onih koje nastaju truljenjem leša pa se uvijek dijagnosticira na “svježim” leševima. Ustanovljavamo ga kada pored proteinskih tvari dokažemo i neki ireverzibilni proces raspada ćelije (uništenje jezgre ili ćelijske membrane).
Etiologija:
Uzrok parenhimatozne degeneracije najčešći je sepsa kojoj je to često jedina promjena za koju se smatra da uzrokuje smrt. Zatim su tu anemijske hipoksije i poremećaji cirkulacije u vidu zastoja, zatim hemijski agenski kao teški metali.
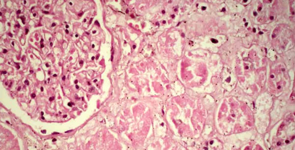
Morfologija:
Makroskopski:
Organi u parenhimatoznoj degeneraciji su nabrekli tako da je kapsula napeta, a na prerezu se prelijevaju preko rezne plohe, organ je blijedosive boje, strukturalni reljefni crtež je nejasan ili nevidi se nikako.
Mikroskopski:
Možemo utvrditi nekoliko osnovnih stadija parenhimatozne degeneracije:
- Mutno bubrenje je prvi stadij kada se u ćeliji pojavljuju mutne bjelančevinaste nakupine u obliku zrnaca koje uzrokuju da ćelija bubri i pomoću nekoliko metoda možemo dokazati da su proteinske strukture. Ovaj dio procesa je reverzibilan i u osnovi se ne razlikuje od infiltratio albuminoides.
- U ovom dijelu procesa mutno bubrenje uznapreduje pa je sve više proteinskih zrnaca. Jezgra se oštećuje i raspada ili se pak otapa, uglavnom nestaje i slijede je različite strukturalne ireverzibilne promjene u ćeliji.
- Detritus je finalni dio parenhimatozne degeneracije kada nastupa smrt ćelije uz raspad ćelijske membrane i rasipanje ćelije na zrnca.
U jednom histološkom preparatu parenhimatozne degeneracije možemo obično pronaći sve stadije parenhimatozne degeneracije.


Be the first to comment