Kada atrofiraju ćelije nekog organa onda se on u cjelini smanjuje, ublažava se njegov reljef (ako postoji), smežurava se čahura jer je preširoka za tako smanjen organ itd. Određeni organi mogu promjeniti boju.
- Atrophia simplex: je takva promjena kada je atrofična ćelija samo umanjena u odnosu na normalnu (uz to može da joj se promjeni i oblik; cilindrična da postane pločasta itd.) dok drugih promjena nema.
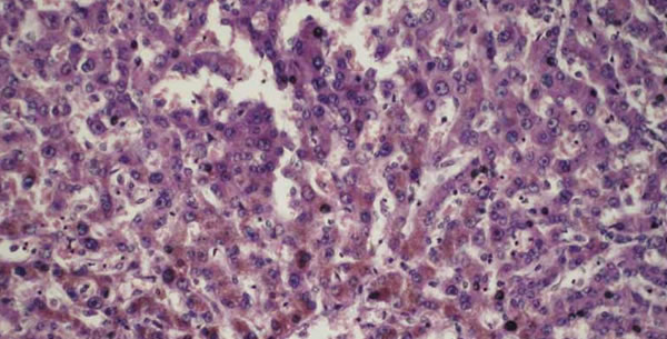
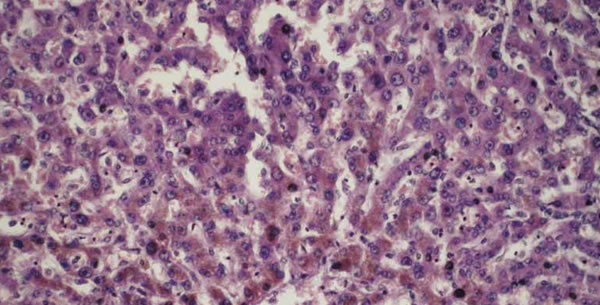
- Atrophia fusca: pojavljuje se kod ćelija nekih organa kao što su jetra, testisi, ganglijske ćelije, mikoard. Usljed nakupljanja u njima pigmenta lipofuscina ćelije su smedje boje.
- Atrophia Granularis: (renis) kod ovakvih atrofija nije čitav organ zahvaćen nego samo neki lokaliteti na njemu. Atrofično tkivo tog organa se ulegne tako da cijeli organ daje sliku zrnaste površine; čest nalaz na bubrezima.
- Osteoporosis: je atrofija kosti kada imamo stanjenje čvrstih elemenata kosti, a povećanje šupljine.
- Atrophia Indurativa i Atrophia Lipomatoza: su promjene koje nastaju kod nekih atrofija kada šupljinu nastalu usljed atrofije ispunjava masno tkivo (Atrophia lipomatoza) kada organi postaju i veći no što su bili, a budu mekši ili šupljinu ispunjava vezivo ( Atrophia indurativa) pa su organi čvršći.






Be the first to comment