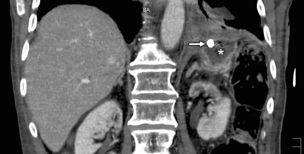
Definicija:
Subfrenični apsces je nakupina gnoja ispod dijafragme.
Etiopatogeneza:
Nastaje intraperitonealnim širenjem infekcije sa lateralne strane debelog crijeva.
Klinička slika:
Klinička dijagnoza je vrlo teška i zato se često na osnovu septičke temperature i leukocitoze dolazi do zaključka da se negdje nalazi gnojna kolekcija. Važan je anamnestički podatak da je pacijent bio ranije operiran ili prebolio neki upalni proces u abdomenu, makar i prije nekoliko mjeseci.
Dijagnoza:
Osim anamneze i klinčkog pregleda (koji ne mora biti od velike koristi), dijagnoza se postiže RTG snimkom abdomena gdje se ispod dijafragme i iznad jetre nalazi visok stav dijafragme.
Liječenje:
Liječenje je hirurško. Drenira se apsces stražnjim ekstraperitonealnim putem ispod 12. rebra ili prednjim pristupom ispod desnog rebarnog luka. Uvijek se primjenjuje intezivna antibiotska terapija, a danas se radi i perkutana drenaža apscesa pod kontrolom UZV.




Be the first to comment